
本日、松葉杖と装具がとれました
-
-
Tatsuya Y
2010年12月18日 21:49 visibility207

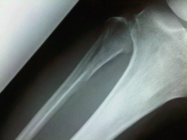
↑
脛骨下端 骨折線が徐々に薄くなりつつあります。
近位部3本の一番下あたりの骨が成長してます。

↑
こちらは、腓骨側。くっつきまひた。
明日、犬つれて見学にいきます!
- 事務局に通報しました。

chat コメント 件
コメントをもっと見る